Parent Advice following Children’s Tonsillectomy or Adenotonsillectomy
In the hospital
Your child has just had their tonsils, or tonsils and adenoids, removed under an anaesthetic. They will be kept on the ward for a minimum of four hours for observation.
Painkillers and local anaesthetic will have been given during the operation; this means that the initial pain is usually controlled. Your child will be discharged only when the nurses are happy with all aspects of your child’s health.
At home
- After discharge your child will need regular painkiller for a minimum of 10 days. We recommend that you give Paracetamol and Ibuprofen in liquid or dispersible form. The exact dose of these will be given to you before discharge. Paracetamol is four times a day or every six hours. Ibuprofen is three times a day or every eight hours. We recommend that you alternate these painkillers to keep a constant level of pain control.
- Do not wake your child up to give them their next painkiller, but adjust the timings the following day.
- Your child should brush their teeth four times a day to keep their mouth clean.
- Chewing gum (if parents allow) will keep the throat moving and encourage swallowing; otherwise, chewy sweets.
- Your child should drink plenty of fluids. When they are hungry, offer them things that they need to chew on, such as toast, crisps and apples. They can have jelly and ice cream, but not only jelly and ice cream!
- Keep your child off school or nursery for two weeks. Make sure he or she rests at home away from crowds and smoky places. Keep him or her away from people with coughs and colds. Your child may feel tired for the first few days.
If your child has any sign of bleeding from the mouth, please contact Kingfisher Ward on 01305 254253 and they will advise you.
If the bleeding is heavy you must take your child to the nearest Emergency Department.

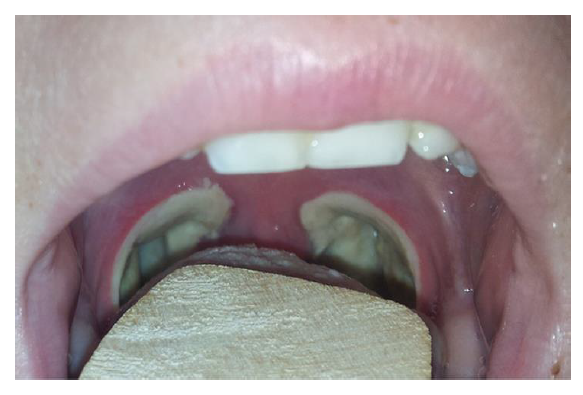
Typical post-operative appearance on day three.

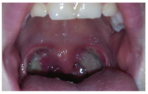
Typical post-operative appearance on day 10.
Contact numbers
We hope that you have found this information useful. If you have any questions or are worried about anything, please speak to the following Dorset County Hospital staff:
Dorset County Hospital Switchboard: 01305 251150
Kingfisher Ward: 01305 254253
About this leaflet
Author(s): Mr Andrew Lale, ENT Consultant
Mrs Konstantina Karra, ENT Speciality Doctor
Written: June 2021
Approved: July 2021
Review date: July 2024
Edition: v1
If you have feedback regarding the accuracy of the information contained in this leaflet, or if you would like a list of references used to develop this leaflet, please email patientinformation.leaflets@dchft.nhs.uk
Print leaflet